Intervento record, asportato un tumore da 20 centimetri
di Redazione
03/07/2018
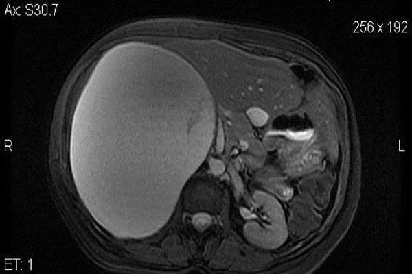
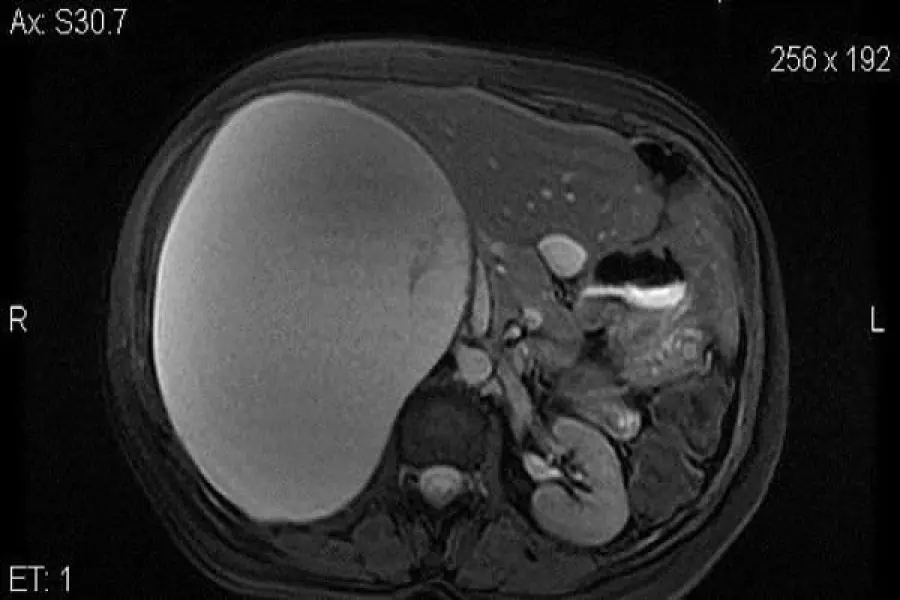
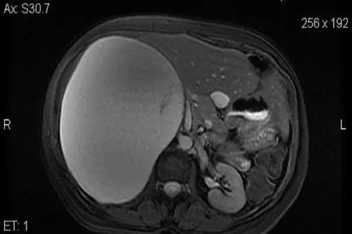
Un tumore di dimensioni enormi è stato asportato dal corpo di una donna attraverso un intervento record. È successo a La Maddalena dove con un’operazione durata tre ore e mezza è stato asportata una massa tumorale da 20 centimetri.
Intervento record
Un intervento record è stato eseguito da una equipe composta da Pietro Mezzatesta, Lucio Mandalà, Luigi Casà e Antonio Noto dell’Unità operativa complessa di Chirurgia de La Maddalena. Ad essere sottoposta a questa operazione una donna di 39 anni, colpita da un tumore al surrene. Nonostante la presenza della massa tumorale la donna aveva da poco partorito grazie ad un intervento chirurgico mini invasivo.Massa tumorale crescente
La donna, che aveva scoperto della neoplasia durante la gestazione. Questa le era stata ridotta in un’altra struttura palermitana per favorire il parto. Si era sperato, pertanto di una definitiva risoluzione del problema. Qualche settimana dopo il parto, però, la massa tumorale ha ripreso a crescere. Le dimensioni sono diventate enormi ed è stata notata una vistosa compressione degli organi interni, causando alla paziente disturbi via via più gravi. La donna si è pertanto rivolta alla struttura "La Maddalena", dove è stata sottoposta ad accertamenti atti a indagare sull'origine della massa da cui è seguito l’intervento chirurgico eseguito in laparoscopia. L’intervento è stato reso necessario dalla notevole compressione della massa tumorale su organi vitali come il fegato ed il rene.Intervento durato 3 ore e mezza
La scelta della laparoscopia è stata fatta per evitare alla neo mamma un’incisione di notevoli dimensioni, che avrebbe causato alla donna effetti devastanti. L’intervento, molto complesso è durato 3 ore e mezza. I medici durante l’operazione hanno scoperto che era il surrene, l’organo da cui traeva origine la massa tumorale di 20 centimetri. Lo stesso surrene, di dimensioni paragonabili ad una castagna, non era più riconoscibile. L’operazione è stata effettuata nel novembre del 2017. Prima della quale è stata necessaria una riduzione della parte liquida del tumore, per poi poter intervenire in laparoscopia sullo stesso. Per eseguire un’operazione, infatti, con questa tecnica è richiesta immissione di un gas inerte per creare spazi tra gli organi nella cavità addominale. La paziente , che ora si è sottoposta a controllo di routine, appare in buone condizioni di salute.Articolo Precedente
Allerta dengue: come difendersi dalla malattia infettiva
Articolo Successivo
Infezioni ospedaliere, in Italia un vero e proprio allarme
Redazione